Blogs

Why Dental Implants Replace Missing Teeth the Best

Why Dental Implants Replace Missing Teeth the Best

Statistics from the American Association of Oral and Maxillofacial Surgeons (AAOMS) indicate that nearly 70% of U.S. adults between the ages of 35 and 44 have at least one missing tooth as the result of an accident, tooth decay, gum disease, or dental fractures. Many options exist to replace missing teeth, such as bridges and […]

Expertise Matters for Dental Anesthesia

Expertise Matters for Dental Anesthesia

Anesthesia is one of the most important parts of dental surgery. Not only does anesthesia provide pain management, but it also keeps you safe from moving or interrupting the surgery. As such, it’s important to review this aspect with your doctor before the day of your surgery arrives. Understanding potential side effects, recovery expectations, and […]

How to Enjoy Eating With Your New Dentures In Public

How to Enjoy Eating With Your New Dentures In Public

If you have just been fitted with dentures, chances are that you’ve been really looking forward to being able to eat with ease again – especially in public. If you’re completely new to dentures, that first few weeks – the break in period – may be a bit discouraging, since it can seem like you’ll […]

How to Upgrade Your Dentures with Dental Implants

How to Upgrade Your Dentures with Dental Implants

Are You in the Market for a New Set of Dentures? Over time, your dentures may lose their fit because of jawbone loss or other changes to your mouth. The teeth in your dentures may also wear down. If you’re getting ready to replace your dentures, now might be a great time to consider an […]

Designing a More Affordable Treatment Plan

Designing a More Affordable Treatment Plan

Some patients may put off their dental implant surgery because of concerns about costs. Dental implants can be costly, and payments need to be made up front before the procedure can begin. The less time you need to delay your surgery while you save up for a procedure, the better. The longer you have missing […]

Dental Infection Control Awareness

Dental Infection Control Awareness

Did you know that the month of September is National Dental Infection Control Awareness Month? Dental infection control awareness month highlights infection control in dentistry. “The Organization for Safety, Asepsis and Prevention (OSAP) has designated September National Dental Infection Control Awareness Month (NDICAM) as part of a collaborative, profession-facing effort to support dental practitioners and […]

My Teenager Is Missing A Tooth – What Now?

My Teenager Is Missing A Tooth – What Now?

There are many reasons for a teenager to have missing teeth. Some teens lose a tooth (or teeth) from playing or being involved in an accident. Teeth may be extracted due to decay, and sometimes teeth are congenitally missing, meaning the teen was born without the tooth or teeth. When replacing a tooth for a […]

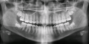
Panoramic X-ray – Why you need one

Panoramic X-ray – Why you need one

Why is a current panoramic x-ray important? When coming to our office for a dental procedure, it is very important for us to have a current x-ray. Current x-rays (also known as radiographs) are essential for accurate diagnosis. It is important for our doctors to see all areas of the face and jaws that are […]

Will I need a sinus lift before a dental implant procedure?

Will I need a sinus lift before a dental implant procedure?

When considering dental implants, there are a variety of circumstances to consider. One of these is the potential need for a sinus lift before the dental implant procedure. The success of your implant is heavily dependent on the quantity and quality of bone in the area where the implant will be placed. If you do […]

What is a dental CT scan?

What is a dental CT scan?

What is a CT scan? A CT (computed tomography) scan is a noninvasive medical test that uses special X-ray equipment to produce multiple images or pictures of the inside of the body. These images are then joined together by a computer to create cross-sectional views of the area being studied. Traditional panoramic X-rays performed by […]